Key to Alzheimer’s Lies in Gut Not Brain, Says New Study

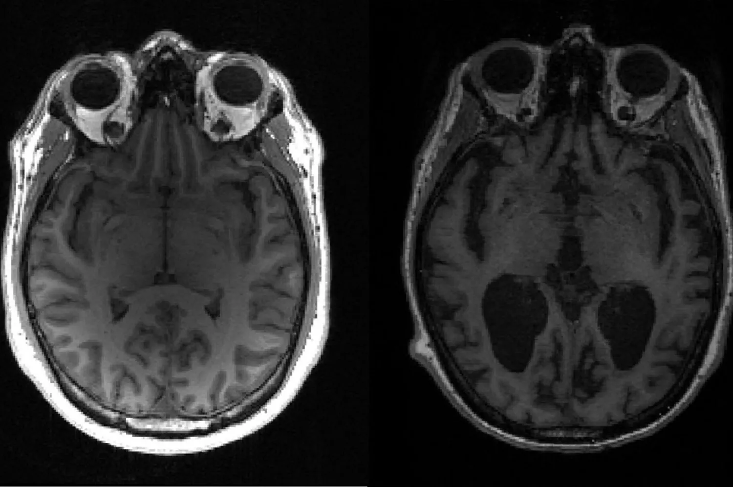
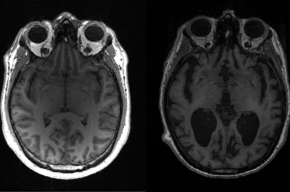
This undated image courtesy of, Dr. Timothy Rittman, University of Cambridge, shows an MRI image of a healthy brain (L) and an Alzheimer's brain (R) with large black gaps where brain has shrunk. (AFP)
This undated image courtesy of, Dr. Timothy Rittman, University of Cambridge, shows an MRI image of a healthy brain (L) and an Alzheimer's brain (R) with large black gaps where brain has shrunk. (AFP)
TT

Key to Alzheimer’s Lies in Gut Not Brain, Says New Study

This undated image courtesy of, Dr. Timothy Rittman, University of Cambridge, shows an MRI image of a healthy brain (L) and an Alzheimer's brain (R) with large black gaps where brain has shrunk. (AFP)
This undated image courtesy of, Dr. Timothy Rittman, University of Cambridge, shows an MRI image of a healthy brain (L) and an Alzheimer's brain (R) with large black gaps where brain has shrunk. (AFP)

The key to stopping dementia could lie in the gut rather than the brain, new research suggests. Decades of studies from around the world costing billions of pounds have so far failed to uncover a way of tackling the memory-robbing disease. But the gut “represents an alternative target that may be easier to influence with drugs or diet changes”, experts have said.

A series of experiments linking the gut to the development of Alzheimer's were presented at the Alzheimer's Research UK 2022 Conference in Brighton on March 1, The Daily Mail reported.

One revealed how the microbiomes — the community of bacteria in the gut — of patients with the condition can differ massively to those without the disorder.

Another found rodents given fecal transplants directly from Alzheimer's patients perform worse on memory tests. A third study saw brain stem cells treated with blood from patients with the disorder were less able to grow new nerve cells.

In theory, the patients' gut bacteria influence the levels of inflammation in the body which then impacts the brain via the blood supply. Inflammation is considered a key contributor to the development of Alzheimer's. The disease is the most common type of dementia, and one of the leading causes of death in the UK.

Charities estimate roughly 900,000 people in Britain and 5million in the US are living with the disorder, with that number growing every year as we live longer.

Dr. Edina Silajdžić, a neuroscientist from King's College London, involved in the analysis of samples from Alzheimer's patients, said: “Most people are surprised that their gut bacteria could have any bearing on the health of their brain. But the evidence is mounting — and we are building an understanding of how this comes about.”

“This leads us to believe inflammation associated with gut bacteria can affect the brain via the blood,” Silajdžić noted.



Spain and Portugal Continue to Battle Storm Leonardo as New Storm Approaches

 A mountain landslide blocks railway tracks during heavy rains, as storm Leonardo hits parts of Spain, in Benaojan, Spain, February 6, 2026. (Reuters)
A mountain landslide blocks railway tracks during heavy rains, as storm Leonardo hits parts of Spain, in Benaojan, Spain, February 6, 2026. (Reuters)
TT

Spain and Portugal Continue to Battle Storm Leonardo as New Storm Approaches

 A mountain landslide blocks railway tracks during heavy rains, as storm Leonardo hits parts of Spain, in Benaojan, Spain, February 6, 2026. (Reuters)
A mountain landslide blocks railway tracks during heavy rains, as storm Leonardo hits parts of Spain, in Benaojan, Spain, February 6, 2026. (Reuters)

Storm Leonardo continued to batter the Iberian Peninsula on Friday, bringing floods and putting rivers at risk of bursting their banks while thousands of people were evacuated from their homes in Spain and Portugal.

In southern Spain's Andalusia region, some 7,000 people have had to leave their homes due to successive storms.

Among them were around 1,500 people ordered to evacuate the mountain village of Grazalema, where Andalusia's regional leader Juan Manuel Moreno warned that aquifers were "full to the brim with water,” and at risk of collapsing.

“It's raining on already saturated ground. The land is unable to drain," Moreno said. “We urge extreme caution. This is not over.”

Spanish police said Friday they had found a body located 1,000 meters (about 0.6 miles) away from where a woman had disappeared Wednesday after she fell into a river in Malaga province while trying to rescue her dog. Police said they had not yet identified the body, but believed it belonged to the 45-year-old woman.

Another storm front, Marta, was expected to arrive Saturday, with Spain's weather agency AEMET saying it would bring even more rain and heavy winds, including to areas already drenched by Storm Leonardo.

Marta is expected to affect Portugal, too.

Of particular concern was southern Spain's Guadalquivir River, which flows through Córdoba and Seville and eventually into the Atlantic Ocean, and whose water levels have dramatically risen in recent days.

Additional rain Saturday could leave many more homes at risk in Córdoba, local authorities warned.

In Portugal, parts of Alcacer do Sal were submerged after the Sado River overflowed, forcing residents to leave the city located 90 kilometers (about 56 miles) south of Lisbon.

Alerts were issued also for regions near the Tagus River due to rising water levels.

A separate storm in late January left a trail of destruction in Portugal, killing several people, according to Portuguese authorities.


AROYA Cruises Debuts Arabian Gulf Voyages for 2026

AROYA offers a curated experience featuring culturally inspired entertainment and diverse dining options - SPA
AROYA offers a curated experience featuring culturally inspired entertainment and diverse dining options - SPA
TT

AROYA Cruises Debuts Arabian Gulf Voyages for 2026

AROYA offers a curated experience featuring culturally inspired entertainment and diverse dining options - SPA
AROYA offers a curated experience featuring culturally inspired entertainment and diverse dining options - SPA

AROYA Cruises, a subsidiary of the PIF-owned Cruise Saudi, has officially launched its inaugural season in the Arabian Gulf.

Running from February 21 to May 8, the season marks a milestone in regional tourism by blending authentic Saudi hospitality with international maritime standards, SPA reported.

AROYA offers a curated experience featuring culturally inspired entertainment and diverse dining options.

The season is designed to provide guests with a dynamic way to explore the Gulf, setting a new benchmark for luxury travel that reflects the Kingdom's heritage on a global stage.


Snowstorm Brings Much of Denmark to a Halt

A car drives in heavy snow at Store Heddinge in South Zealand, Denmark, 05 February 2026.  EPA/Mads Claus Rasmussen
A car drives in heavy snow at Store Heddinge in South Zealand, Denmark, 05 February 2026. EPA/Mads Claus Rasmussen
TT

Snowstorm Brings Much of Denmark to a Halt

A car drives in heavy snow at Store Heddinge in South Zealand, Denmark, 05 February 2026.  EPA/Mads Claus Rasmussen
A car drives in heavy snow at Store Heddinge in South Zealand, Denmark, 05 February 2026. EPA/Mads Claus Rasmussen

Denmark authorities halted public transport, closed schools and cancelled flights on Friday as heavy snowfall blanketed much of the country.

The Nordic country's meteorological institute DMI warned that heavy snow would likely continue until Friday evening in the east, where the capital Copenhagen is located.

Police said people should avoid going outdoors unless necessary and stay indoors in the capital and the surrounding region.

Copenhagen's airport cancelled flights to Paris and Berlin and warned of "delay and cancellation risks because of snowy conditions." Many schools were closed.

In the second-largest city of Aarhus, bus services were cancelled.