US Approves New Drug to Treat Alzheimer's Disease

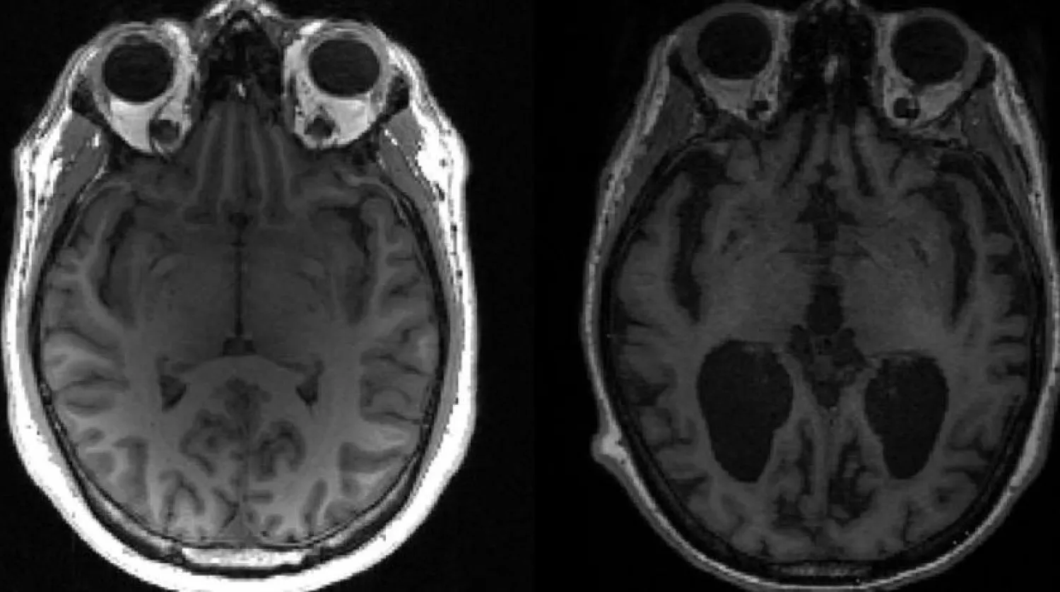
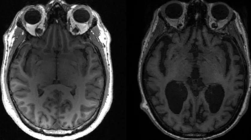
This undated image courtesy of, Dr. Timothy Rittman, University of Cambridge, shows an MRI image of a healthy brain (L) and an Alzheimer's brain (R) with large black gaps where brain has shrunk. (AFP)
This undated image courtesy of, Dr. Timothy Rittman, University of Cambridge, shows an MRI image of a healthy brain (L) and an Alzheimer's brain (R) with large black gaps where brain has shrunk. (AFP)
TT

US Approves New Drug to Treat Alzheimer's Disease

This undated image courtesy of, Dr. Timothy Rittman, University of Cambridge, shows an MRI image of a healthy brain (L) and an Alzheimer's brain (R) with large black gaps where brain has shrunk. (AFP)
This undated image courtesy of, Dr. Timothy Rittman, University of Cambridge, shows an MRI image of a healthy brain (L) and an Alzheimer's brain (R) with large black gaps where brain has shrunk. (AFP)

The US Food and Drug Administration on Friday approved a highly anticipated new drug designed to slow cognitive decline in patients in mild and early stages of Alzheimer's disease.

The FDA approval of the drug, Leqembi, also known as lecanemab, comes just days after the regulatory agency was harshly criticized in a congressional report for its green-lighting of another Alzheimer's drug, Aduhelm.

And it was granted despite trial results showing the monoclonal antibody treatment carries risks of brain swelling and bleeding, AFP said.

Both drugs were approved through an accelerated process that allows the FDA to fast-track approval of drugs for serious conditions where there is an unmet medical need.

Leqembi and Aduhelm, which were jointly developed by Japan's Eisai and Biogen of the United States, "represent an important advancement in the ongoing fight to effectively treat Alzheimer's disease," the FDA said in a statement.

"Alzheimer's disease immeasurably incapacitates the lives of those who suffer from it and has devastating effects on their loved ones," Billy Dunn of the FDA's Center for Drug Evaluation and Research said in a statement.

Leqembi, Dunn said, is "the latest therapy to target and affect the underlying disease process of Alzheimer's, instead of only treating the symptoms of the disease."

Approximately 6.5 million Americans suffer from Alzheimer's, which is characterized by memory loss and declining mental acuity.

Preliminary data from a trial of Leqembi was released in September and found it slowed cognitive decline in Alzheimer's patients by 27 percent.

The phase three trial involved nearly 1,800 people, divided between those given the drug and given a placebo, and ran over 18 months.

The complete trial data, published in the New England Journal of Medicine, raised concern about the incidence of "adverse effects" including brain bleeds and swelling.

The results showed that 17.3 percent of patients administered the drug experienced brain bleeds, compared with nine percent of those receiving a placebo.

And 12.6 percent of those taking the drug experienced brain swelling, compared with just 1.7 percent of those in the placebo group.

Deaths were reported at approximately the same rate in both arms of the trial of the drug.

- $26,500 a year -
In Alzheimer's disease, two key proteins, tau and amyloid beta, build up into tangles and plaques, known together as aggregates, which cause brain cells to die and lead to brain shrinkage.

Leqembi, which is administered intravenously once every two weeks, works by targeting amyloid.

In the trial, patients receiving Leqembi had a statistically significant reduction in brain amyloid plaque compared to the placebo arm, which had no reduction of amyloid beta plaque.

Biogen and Eisai previously brought Aduhelm to market, but there was significant controversy over whether it worked, and its approval in 2021 led to three high-level resignations in the FDA.

A US congressional investigation said the accelerated approval process for Aduhelm, the first drug approved in decades to treat Alzheimer's, was "rife with irregularities" and criticized both the agency and Biogen.

The Cambridge, Massachusetts-based Biogen set an "unjustifiably high price" for Aduhelm of $56,000 a year, the congressional report said.

Eisai said Leqembi would be priced initially at $26,500 per year and estimated that 100,000 Americans could be receiving the drug by three years from now.

Joanne Pike, president and CEO of the Alzheimer's Association, welcomed the approval of Leqembi but expressed concern that its high cost could put it out of reach of most Americans, particularly if it is not covered by Medicare, the government health insurance program for the elderly.

"People living with this fatal disease today do not have time to wait for a miracle drug or cure," Pike said in a statement.



Rocket Re-entry Pollution Measured in Atmosphere for 1st Time

A SpaceX Falcon 9 rocket with the company's Dragon spacecraft on top launches from Space Launch Complex 40 for the Crew-12 mission at Cape Canaveral Space Force Station in Florida on February 13, 2026. (Photo by Jim WATSON / AFP)
A SpaceX Falcon 9 rocket with the company's Dragon spacecraft on top launches from Space Launch Complex 40 for the Crew-12 mission at Cape Canaveral Space Force Station in Florida on February 13, 2026. (Photo by Jim WATSON / AFP)
TT

Rocket Re-entry Pollution Measured in Atmosphere for 1st Time

A SpaceX Falcon 9 rocket with the company's Dragon spacecraft on top launches from Space Launch Complex 40 for the Crew-12 mission at Cape Canaveral Space Force Station in Florida on February 13, 2026. (Photo by Jim WATSON / AFP)
A SpaceX Falcon 9 rocket with the company's Dragon spacecraft on top launches from Space Launch Complex 40 for the Crew-12 mission at Cape Canaveral Space Force Station in Florida on February 13, 2026. (Photo by Jim WATSON / AFP)

When part of a SpaceX rocket re-entered Earth's atmosphere exactly a year ago, it created a spectacular fireball that streaked across Europe's skies, delighting stargazers and sending a team of scientists rushing towards their instruments.

The German team managed to measure the pollution the rocket's upper stage emitted in our planet's difficult-to-study upper atmosphere -- the first time this has been achieved, according to a study published on Thursday.

It is vital to learn more about this little-understood form of pollution because of the huge number of satellites that are planned to be launched in the coming years, the scientists emphasized.

In the early hours of February 19, 2025, the upper stage of a Falcon 9 rocket was tumbling back to Earth when it exploded into a fireball that made headlines from the UK to Poland.

"We were excited to try and test our equipment and hopefully measure the debris trail," the team led by Robin Wing and Gerd Baumgarten of the Leibniz Institute of Atmospheric Physics in Germany told AFP via email.

In particular, the scientists wanted to measure how the rocket polluted what they call the "ignorosphere" -- because it is so difficult to study.

This region between 50 to 100 kilometers (31 to 62 miles) above Earth includes the mesosphere and part of the lower thermosphere.

- 'Harbinger' -

The team used technology called LIDAR, which measures pollution in the atmosphere by shooting out lots of laser pulses and seeing which bounce back off something.

They detected a sudden spike in the metal lithium in an area nearly 100 kilometers above Earth. This plume had 10 times more lithium than is normal in this part of the atmosphere.

The team then traced the plume back to where the rocket re-entered the atmosphere, west of Ireland.

For the first time, this proves it is possible to study pollution from re-entering rockets at such heights before it disperses, the scientists said.

But the impact from this rocket pollution remains unknown.

"What we do know is that one ton of emissions at 75 kilometers (altitude) is equivalent to 100,000 tons at the surface," they said.

The study warned the case was a "harbinger" of the pollution to come, given how many rockets will be needed to launch all the satellites that Earth is planning to blast into space.

Currently, there are around 14,000 active satellites orbiting our planet.
In the middle of last month, China applied for permission to launch around 200,000 satellites into orbit.

Then at the end of January, billionaire Elon Musk's SpaceX applied for permission to launch one million more.

Eloise Marais, a professor of atmospheric chemistry at University College London not involved in the new study, told AFP the research was "really important".

"There is currently no suitable regulation targeting pollution input into the upper layers of the atmosphere," she explained.

"Even though these portions of the atmosphere are far from us, they have potentially consequential impacts to life on Earth if the pollutants produced are able to affect Earth's climate and deplete ozone in the layer protecting us from harmful UV radiation."

The study was published in the journal Communications Earth & Environment.


Deep-sea Fish Break the Mold with Novel Visual System

A close-up showing the shiny silver-green photophores (light organs) on the lower head of the deep-sea fish Maurolicus muelleri from the Red Sea, seen in this photograph released on February 11, 2026. Dr. Wen-Sung Chung/Handout via REUTERS
A close-up showing the shiny silver-green photophores (light organs) on the lower head of the deep-sea fish Maurolicus muelleri from the Red Sea, seen in this photograph released on February 11, 2026. Dr. Wen-Sung Chung/Handout via REUTERS
TT

Deep-sea Fish Break the Mold with Novel Visual System

A close-up showing the shiny silver-green photophores (light organs) on the lower head of the deep-sea fish Maurolicus muelleri from the Red Sea, seen in this photograph released on February 11, 2026. Dr. Wen-Sung Chung/Handout via REUTERS
A close-up showing the shiny silver-green photophores (light organs) on the lower head of the deep-sea fish Maurolicus muelleri from the Red Sea, seen in this photograph released on February 11, 2026. Dr. Wen-Sung Chung/Handout via REUTERS

For more than a century, biology textbooks have stated that vision among vertebrates - people included - is built from two clearly defined cell types: rods for processing dim light and cones for bright light and color. New research involving deep-sea fish shows this tidy division is, in reality, not so tidy.

Scientists have identified a new type of visual cell in deep-sea fish that blends the shape and form of rods with the molecular machinery and genes of cones. This hybrid type of cell, adapted for sight in gloomy light conditions, was found in larvae of three deep-sea fish species in the Red Sea, Reuters reported.

The species studied were: a hatchetfish, with the scientific name Maurolicus mucronatus; a lightfish, named Vinciguerria mabahiss; and a lanternfish, named Benthosema pterotum. The hatchetfish retained the hybrid cells throughout its life. The other two shifted to the usual rod-cone dichotomy in adulthood.

All three are small, with adults measuring roughly 1-3 inches (3-7 cm) long and the larvae much littler. They inhabit a marine realm of twilight conditions, with sunlight struggling to penetrate into the watery depths.

The vertebrate retina, a sensory membrane at the back of the eye that detects light and converts it into signals to the brain, possesses two main types of light-sensitive visual cells, called photoreceptors. They are named for their shape: rods and cones.

"The rods and cones slowly change position inside the retina when moving between dim and bright conditions, which is why our eyes take time to adjust when we flick on the light switch on our way to the restroom at night," said Lily Fogg, a postdoctoral researcher in marine biology at the University of Helsinki in Finland and lead author of the research published in the journal Science Advances.

"We found that, as larvae, these deep-sea fish mostly use a mix-and-match type of hybrid photoreceptor. These cells look like rods - long, cylindrical and optimized to catch as many light particles - photons - as possible. But they use the molecular machinery of cones, switching on genes usually found only in cones," Fogg said.

The researchers examined the retinas of fish larvae caught at depths from 65 to 650 feet (20 to 200 meters). In the type of dim environment they inhabit, rod and cone cells both are usually engaged in the vertebrate retina, but neither works very well. These fish display an evolutionary remedy.

"Our results challenge the longstanding idea that rods and cones are two fixed, clearly separated cell types. Instead, we show that photoreceptors can blend structural and molecular features in unexpected ways. This suggests that vertebrate visual systems are more flexible and evolutionarily adaptable than previously thought," Fogg said.

"It is a very cool finding that shows that biology does not fit neatly into boxes," said study senior author Fabio Cortesi, a marine biologist and neuroscientist at the University of Queensland in Australia. "I wouldn't be surprised if we find these cells are much more common across all vertebrates, including terrestrial species."

All three species emit bioluminescence using small light-emitting organs on their bodies, mostly located on the belly. They produce blue-green light that blends with the faint background light from the sun above. This strategy, called counterillumination, is a common form of camouflage in the deep sea to avoid predators.

"Small fish like these fuel the open ocean. They are plentiful and serve as food for many larger predatory fishes, including tuna and marlin, marine mammals such as dolphins and whales, and marine birds," Cortesi said.

These kinds of fish also engage in one of the biggest daily migrations in the animal kingdom. They swim near the surface at night to feed in plankton-rich waters, then return to the depths - 650 to 3,280 feet (200 to 1,000 meters) - during daytime to avoid predation.

"The deep sea remains a frontier for human exploration, a mystery box with the potential for significant discoveries," Cortesi said. "We should look after this habitat with the utmost care to make sure future generations can continue to marvel at its wonders."


Japan City Gets $3.6 Mn Donation in Gold to Fix Water System

FILE PHOTO: Factories line the port of Osaka, western Japan October 23, 2017. REUTERS/Thomas White/File Photo
FILE PHOTO: Factories line the port of Osaka, western Japan October 23, 2017. REUTERS/Thomas White/File Photo
TT

Japan City Gets $3.6 Mn Donation in Gold to Fix Water System

FILE PHOTO: Factories line the port of Osaka, western Japan October 23, 2017. REUTERS/Thomas White/File Photo
FILE PHOTO: Factories line the port of Osaka, western Japan October 23, 2017. REUTERS/Thomas White/File Photo

Osaka has received an unusual donation -- 21 kilograms of gold -- to pay for the maintenance of its ageing water system, the Japanese commercial hub announced Thursday.

The donation worth $3.6 million was made in November by a person who a month earlier had already given $3,300 in cash for the municipal waterworks, Osaka Mayor Hideyuki Yokoyama told a press conference.

"It's an absolutely staggering amount," said Yokoyama, adding that he was lost for words to express his gratitude.

"I was shocked."

The donor wished to remain anonymous, AFP quoted the mayor as saying.

Work to replace water pipes in Osaka, a city of 2.8 million residents, has hit a snag as the actual cost exceeded the planned budget, according to local media.