Biden Says Monkeypox Cases Something to 'be Concerned About'

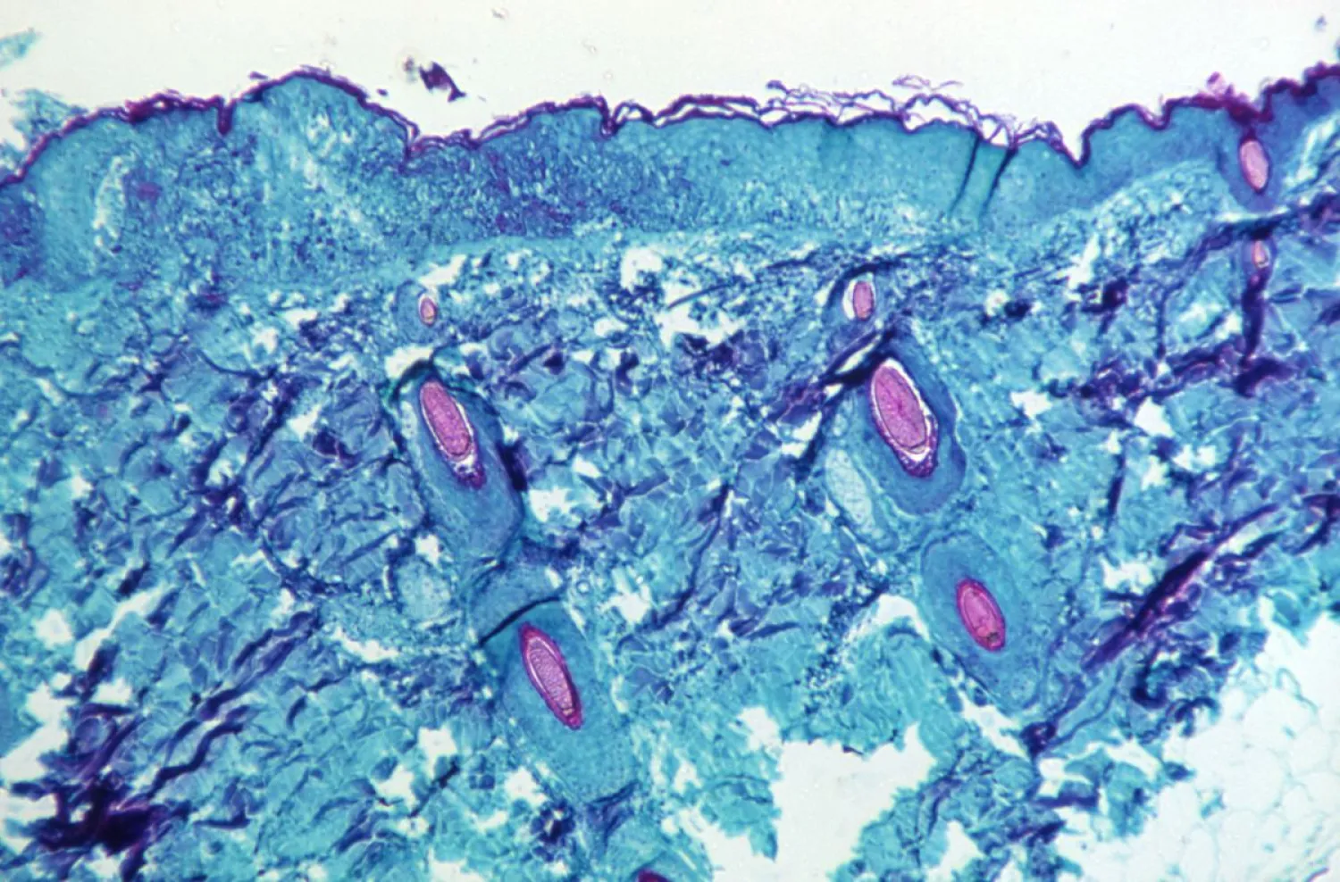
A section of skin tissue, harvested from a lesion on the skin of a monkey, that had been infected with monkeypox virus, is seen at 50X magnification on day four of rash development in 1968. CDC/Handout via REUTERS
A section of skin tissue, harvested from a lesion on the skin of a monkey, that had been infected with monkeypox virus, is seen at 50X magnification on day four of rash development in 1968. CDC/Handout via REUTERS
TT

Biden Says Monkeypox Cases Something to 'be Concerned About'

A section of skin tissue, harvested from a lesion on the skin of a monkey, that had been infected with monkeypox virus, is seen at 50X magnification on day four of rash development in 1968. CDC/Handout via REUTERS
A section of skin tissue, harvested from a lesion on the skin of a monkey, that had been infected with monkeypox virus, is seen at 50X magnification on day four of rash development in 1968. CDC/Handout via REUTERS

President Joe Biden said Sunday that recent cases of monkeypox that have been identified in Europe and the United States were something “to be concerned about.”

In his first public comments on the disease, Biden added: “It is a concern in that if it were to spread it would be consequential."

The president was asked about the disease as he spoke to reporters at Osan Air Base in South Korea, where he visited troops before taking off for Japan to continue his first trip to Asia as president.

“They haven’t told me the level of exposure yet but it is something that everybody should be concerned about,” Biden said. He added that work was underway to determine what vaccine might be effective.

Although the disease belongs to the same virus family as smallpox, its symptoms are milder. People usually recover within two to four weeks without needing to be hospitalized, but the disease occasionally is deadly.

The World Health Organization said it expects to identify more cases of monkeypox as it expands surveillance in countries where the disease is not typically found.

Monkeypox is rarely identified outside of Africa. But as of Saturday, 92 confirmed cases and 28 suspected cases of monkeypox have been reported from 12 member states that are not endemic for the virus, the UN agency said, adding it will provide further guidance and recommendations in coming days for countries on how to mitigate the spread of monkeypox.

"Available information suggests that human-to-human transmission is occurring among people in close physical contact with cases who are symptomatic", the agency added.



Zelenskyy Says Ukrainian Air Force Needs to Improve as Russian Drone Barrages Take a Toll

 Ukrainian President Volodymyr Zelenskyy attends a joint news conference with NATO Secretary General Mark Rutte in Kyiv, Ukraine, Tuesday, Feb. 3, 2026. (AP)
Ukrainian President Volodymyr Zelenskyy attends a joint news conference with NATO Secretary General Mark Rutte in Kyiv, Ukraine, Tuesday, Feb. 3, 2026. (AP)
TT

Zelenskyy Says Ukrainian Air Force Needs to Improve as Russian Drone Barrages Take a Toll

 Ukrainian President Volodymyr Zelenskyy attends a joint news conference with NATO Secretary General Mark Rutte in Kyiv, Ukraine, Tuesday, Feb. 3, 2026. (AP)
Ukrainian President Volodymyr Zelenskyy attends a joint news conference with NATO Secretary General Mark Rutte in Kyiv, Ukraine, Tuesday, Feb. 3, 2026. (AP)

Ukrainian President Volodymyr Zelenskyy on Friday described the performance of the air force in parts of the country as “unsatisfactory," and said that steps are being taken to improve the response to large-scale Russian drone barrages of civilian areas.

The repeated Russian aerial assaults have in recent months focused on Ukraine’s power grid, causing blackouts and disrupting the heating and water supply for families during a bitterly cold winter.

With the war about to enter its fifth year later this month following Russia’s all-out invasion of its neighbor, there is no sign of a breakthrough in US-led peace efforts following the latest talks this week. Further US-brokered meetings between Russian and Ukrainian delegations are planned “in the near future, likely in the United States,” Zelenskyy said.

Zelenskyy said Friday he had discussed with his defense minister and the air force commander what new air defense measures Ukraine needs to counter the Russian barrages. He didn’t elaborate on what would be done.

Russia fired 328 drones and seven missiles at Ukraine overnight and in the early morning, the air force said, claiming that air defenses shot down 297 drones.

One person was killed and two others were injured in an overnight Russian attack using drones and powerful glide bombs on the central Dnipropetrovsk region, according to the head of the regional military administration, Oleksandr Hanzha.

A Russian aerial attack on the southern Zaporizhzhia region during early daylight hours injured eight people and damaged 18 apartment blocks, according to regional military administration head Ivan Fedorov.

A dog shelter in the regional capital was also struck, killing 13 dogs, Zaporizhzhia City Council Secretary Rehina Kharchenko said.

Some dogs were rushed to a veterinary clinic, but they could not be saved, she said. Seven other animals were injured and are receiving treatment.

Amid icy conditions in Kyiv, more than 1,200 residential buildings in multiple districts of the capital have had no heating for days due to the Russian bombardment of the power grid, according to Zelenskyy.

The UK defense ministry said Friday that Ukraine’s electricity network “is experiencing its most acute crisis of the winter.”

Mykola Tromza, an 81-year-old pensioner in Kyiv, said he has had his power restored, but recently went without heating and water at home for a week.

“I touched my nose and by God, it was like an icicle,” Tromza said. He said he ran up and down to keep warm.

Russia’s Defense Ministry said that air defenses downed 38 Ukrainian drones overnight, including 26 over the Bryansk region.

Bryansk Gov. Alexander Bogomaz said the attack briefly cut power to several villages in the region.

Another Ukrainian nighttime strike damaged power facilities in the Russian city of Belgorod, disrupting electricity distribution, Gov. Vyacheslav Gladkov said.

Local reports said that Ukrainian missiles hit a power plant and an electrical substation, cutting power to parts of the city.

Fierce fighting has also continued on the front line despite the frigid temperatures.

Ukraine’s Commander in Chief, Col. Gen. Oleksandr Syrskyi, said the front line now measures about 1,200 kilometers (750 miles) in length along eastern and southern parts of Ukraine.

The increasing technological improvements to drones on both sides mean that the so-called “kill zone” where troops are in greatest danger is now up to 20 kilometers (12 miles) deep, he told reporters on Thursday in comments embargoed until Friday.


US Accuses China of Secret Nuclear Testing

A member of the People's Liberation Army stands as the strategic strike group displays DF-5C nuclear missiles during a military parade to mark the 80th anniversary of the end of World War Two, in Beijing, China, September 3, 2025. (Reuters)
A member of the People's Liberation Army stands as the strategic strike group displays DF-5C nuclear missiles during a military parade to mark the 80th anniversary of the end of World War Two, in Beijing, China, September 3, 2025. (Reuters)
TT

US Accuses China of Secret Nuclear Testing

A member of the People's Liberation Army stands as the strategic strike group displays DF-5C nuclear missiles during a military parade to mark the 80th anniversary of the end of World War Two, in Beijing, China, September 3, 2025. (Reuters)
A member of the People's Liberation Army stands as the strategic strike group displays DF-5C nuclear missiles during a military parade to mark the 80th anniversary of the end of World War Two, in Beijing, China, September 3, 2025. (Reuters)

The United States accused Beijing on Friday of conducting a secret nuclear test in 2020 as it called for a new, broader arms control treaty that would bring in China as well as Russia.

The accusations at a global disarmament conference highlighted serious tension between Washington and Beijing at a pivotal moment in nuclear arms control, a day after the treaty limiting US and Russian missile and warhead deployments expired.

"I can reveal that the US government is aware that China has conducted nuclear explosive tests, including preparing for tests with designated yields in the hundreds of tons," US Under Secretary of State for Arms Control and International Security Thomas DiNanno told a Disarmament Conference in Geneva.

The Chinese military "sought to conceal testing by obfuscating the nuclear explosions because it recognized these tests violate test ban commitments. China has used 'decoupling', a method to decrease the effectiveness of seismic monitoring, to hide their activities from the world," he said.

DiNanno said China had conducted one such "yield-producing test" on June 22, 2020.

China's ambassador on disarmament, Shen Jian, did not directly address DiNanno's charge but said ‌Beijing had always acted ‌prudently and responsibly on nuclear issues.

"China notes that the US continues in its statement to hype ‌up ⁠the so-called China ‌nuclear threat. China firmly opposes such false narratives," he said.

"It (the US) is the culprit for the aggravation of the arms race."

Diplomats at the conference said the US allegations were new and concerning. China, like the US, has signed but not ratified the Comprehensive Nuclear Test Ban Treaty (CTBT), which bans explosive nuclear tests. Russia signed and ratified it, but withdrew its ratification in 2023.

GLOBAL ARMS CONTROL FACES A CRITICAL MOMENT

The 2010 New START treaty which ran out on Thursday left Russia and the United States for the first time since 1972 without any binding constraints on their deployments of strategic missiles and warheads.

US President Donald Trump wants to replace it with a new agreement including China, which is rapidly increasing its own arsenal. In the meantime, Washington says it will keep modernizing its own nuclear forces.

"Russia and ⁠China should not expect the United States to stand still while they shirk their obligations and expand their nuclear forces. We will maintain a robust, credible, and modernized nuclear deterrent," US Secretary of State ‌Marco Rubio wrote in a post on the online publishing platform Substack.

DiNanno told the Geneva conference: "Today, the ‍United States faces threats from multiple nuclear powers. In short, a bilateral ‍treaty with only one nuclear power is simply inappropriate in 2026 and going forward."

He reiterated US projections that China will have over 1,000 nuclear ‍warheads by 2030.

Shen, the Chinese delegate, reiterated that his country would not participate in new negotiations at this stage with Moscow and Washington. Beijing has previously highlighted that it has a fraction of their warhead numbers - an estimated 600, compared to around 4,000 each for Russia and the US.

"In this new era we hope the US will abandon Cold War thinking... and embrace common and cooperative security," Shen said.

Tomas Nagy, a nuclear expert at security think-tank GLOBSEC in Bratislava, said Washington had chosen this moment to call out Beijing for alleged secret testing from nearly six years ago because it felt Beijing was unlikely to cooperate on the issue.

"This is a reflection of the fact that the Americans have actually understood by now that for the ⁠next couple of years, there's going to be no motion in a positive direction with the Chinese. So they decided to disclose this information," he said in a phone interview.

Trump held what he called "very positive" talks with China's President Xi Jinping on trade and wider security issues this week and is due to visit Beijing in April.

EXPIRY OF NEW START LEAVES ARMS CONTROL VOID

Security analysts say a new nuclear arms control deal would take years to negotiate, with Russia and the US developing new weapons and tension over Ukraine, the Middle East and other flashpoints resulting in a higher risk of miscalculation.

Forced to rely on worst-case assumptions about the other's intentions, the US and Russia would see an incentive to increase their arsenals, especially as China plays catch-up.

Russia would prefer to have a dialogue with the United States after New START but is ready for any scenario, Foreign Minister Sergei Lavrov said on Friday. The Kremlin said the two sides, at talks in Abu Dhabi this week, had reached an understanding they would both act responsibly.

Russia says the nuclear allies of NATO members Britain and France should also be up for negotiation - something those countries reject.

At the Geneva forum, Britain said China, Russia and the US should come to an understanding, adding that ‌it shared US concerns about Beijing's rapid expansion of its nuclear arsenal. France said agreement between states with the biggest nuclear arsenals was crucial at a time of an unprecedented weakening of nuclear norms.


US Announces New Iran Oil Sanctions Moments after Talks

Iranian flag with stock graph and an oil pump jack miniature model are seen in this illustration taken October 9, 2023. REUTERS/Dado Ruvic/Illustration/File Photo
Iranian flag with stock graph and an oil pump jack miniature model are seen in this illustration taken October 9, 2023. REUTERS/Dado Ruvic/Illustration/File Photo
TT

US Announces New Iran Oil Sanctions Moments after Talks

Iranian flag with stock graph and an oil pump jack miniature model are seen in this illustration taken October 9, 2023. REUTERS/Dado Ruvic/Illustration/File Photo
Iranian flag with stock graph and an oil pump jack miniature model are seen in this illustration taken October 9, 2023. REUTERS/Dado Ruvic/Illustration/File Photo

The United States on Friday announced new sanctions to curb Iran's oil exports, including targeting 14 vessels, moments after the adversaries wrapped up a day of indirect talks in Oman. 

State Department spokesman Tommy Pigott said Iran uses oil revenue to "fund destabilizing activities around the world and step up its repression inside Iran." 

President Donald Trump is "committed to driving down the Iranian regime's illicit oil and petrochemical exports under the administration's maximum pressure campaign," Pigott said in a statement. 

The State Department said it would order a block of any transactions with 14 vessels said to transport Iranian oil, including ships flagged from Türkiye and India. 

It also announced sanctions on 15 entities and two people. 

Since Trump's first administration, the United States has imposed sanctions to force all other countries to stop buying Iranian oil. 

Iran's foreign minister met indirectly in Oman on Friday with senior Trump envoys on his country's nuclear program and said there was a "positive atmosphere." 

The talks come after Iran's clerical state violently repressed some of the largest protests since the 1979 revolution. 

Trump had threatened the use of force against Iran and ramped up the US military presence near Iran's shores.